Blog
Escaneamento Facial 3D no tratamento com Invisalign
Escaneamento Facial 3D no tratamento com Invisalign A ortodontia digital evoluiu muito nos últimos anos, sendo que hoje não se trata apenas de alinhar dentes, mas de planejar sorrisos em harmonia com o rosto. Nesse contexto, o escaneamento facial 3D com o Invisalign...
Por que não se deve usar carvão ou bicarbonato para clarear os dentes?
Por que não se deve usar carvão ou bicarbonato para clarear os dentes? Nos últimos anos, o desejo por dentes mais brancos fez crescer a busca por soluções rápidas e “naturais”. Entre as receitas caseiras mais divulgadas estão o uso de carvão ativado e bicarbonato de...
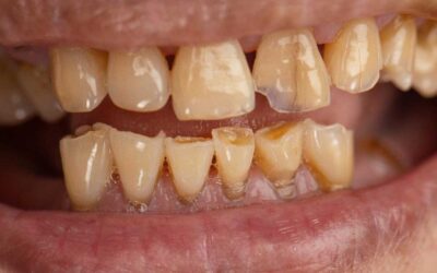
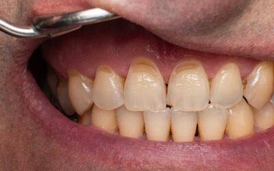
Tratamentos de lesões não cariosas
Tratamentos de lesões não cariosas: como recuperar dentes desgastados com segurança e naturalidade As lesões não cariosas estão cada vez mais presentes na rotina clínica. Diferente da cárie, elas não são causadas por bactérias, mas por fatores mecânicos, químicos ou...
Uso do escaneamento intraoral na limpeza dental com AirFlow
Uso do escaneamento intraoral na limpeza dental com AirFlow A odontologia moderna evoluiu muito além da simples remoção de tártaro. Hoje, a limpeza dental com AirFlow associada ao escaneamento intraoral representa uma abordagem preventiva, tecnológica e altamente...
Conforto e ciência na profilaxia (limpeza dental) odontológica moderna
Conforto e ciência na profilaxia (limpeza dental) odontológica moderna Cuidar da saúde bucal vai muito além de tratar problemas quando eles aparecem. A profilaxia odontológica, popularmente conhecida como limpeza dental, é um dos pilares da prevenção e da manutenção...
O que são lesões não cariosas e por que são cada vez mais frequentes?
O que são lesões não cariosas e por que são cada vez mais frequentes? Quando pensamos em desgaste dental, a primeira associação costuma ser a cárie. No entanto, nem toda perda de estrutura do dente está relacionada à ação de bactérias. Existem alterações chamadas...






