Tratamentos de lesões não cariosas
Tratamentos de lesões não cariosas: como recuperar dentes desgastados com segurança e naturalidade
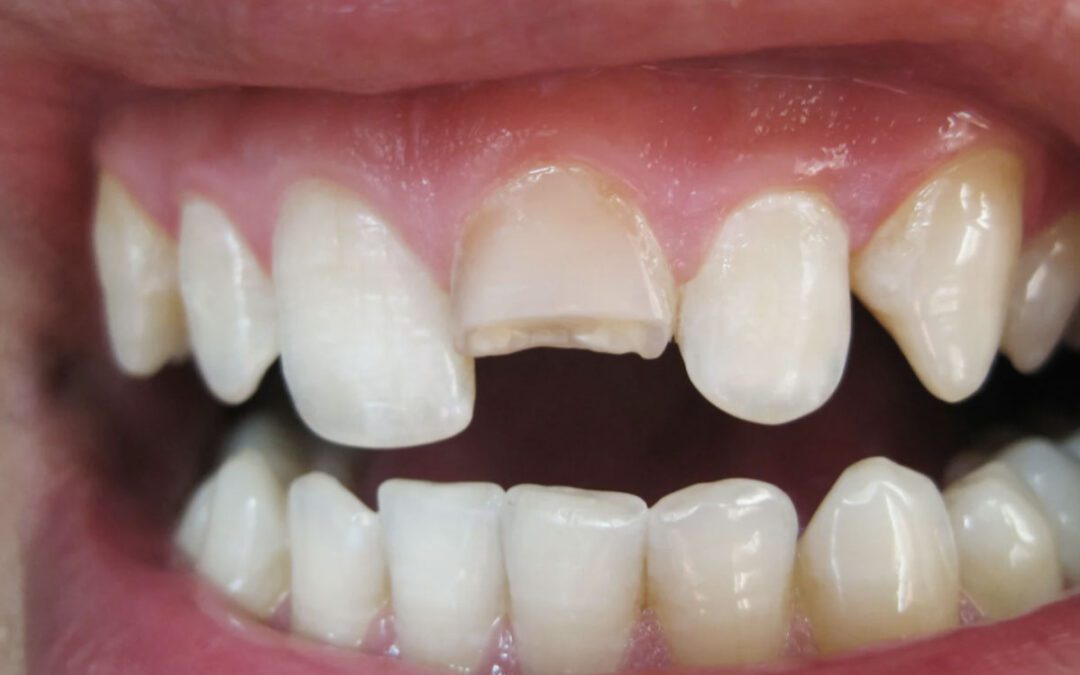
As lesões não cariosas estão cada vez mais presentes na rotina clínica. Diferente da cárie, elas não são causadas por bactérias, mas por fatores mecânicos, químicos ou funcionais que levam à perda gradual da estrutura dental. Muitas vezes, o paciente só percebe quando surge sensibilidade, alteração na forma do dente ou um desgaste próximo à gengiva.
A boa notícia é que os tratamentos para lesões não cariosas evoluíram muito. Assim, atualmente é possível recuperar estética, conforto e função com abordagens minimamente invasivas, previsíveis e seguras.
Entendendo a origem do problema
Antes de falar sobre o tratamento, é fundamental compreender a causa. As lesões não cariosas podem surgir por diferentes mecanismos:
- Abrasão: geralmente relacionada à escovação com força excessiva ou técnica inadequada.
- Erosão: causada pela ação de ácidos presentes na dieta (refrigerantes, frutas cítricas, bebidas energéticas) ou por refluxo gástrico.
- Abfração: associada à sobrecarga oclusal e à flexão do dente, comum em casos de bruxismo.
- Atrição: desgaste provocado pelo contato constante entre os dentes.
Cada situação exige um olhar individualizado. Nesse sentido, tratar apenas a consequência, sem controlar a causa, pode comprometer a durabilidade do resultado.
O primeiro passo: controlar o fator causal
O tratamento começa, sempre, pela prevenção da progressão da lesão.
Se houver erosão ácida, orientações alimentares são fundamentais, além de investigar possíveis alterações gástricas. Em casos de abrasão, ajustar a técnica de escovação e indicar escovas de cerdas macias fazem grande diferença. Já nas situações relacionadas à sobrecarga oclusal, pode ser necessário avaliar os contatos dentários ou indicar placa interoclusal para proteção contra o bruxismo.
Esse cuidado inicial é o que garante estabilidade ao tratamento restaurador.
Tratando a sensibilidade dentária
Muitas lesões não cariosas expõem a dentina, o que pode provocar sensibilidade ao frio, ao toque ou durante a escovação. Nesses casos, o tratamento pode incluir:
- Aplicação de agentes dessensibilizantes
- Vernizes fluoretados
- Pastas específicas com nitrato de potássio ou arginina
- Uso do laser de baixa potência
O laser, especialmente, tem se mostrado um excelente coadjuvante. Ele atua modulando a resposta inflamatória e estimulando mecanismos naturais de reparo, proporcionando alívio confortável e progressivo.
Quando a restauração é indicada?
Nem toda lesão não cariosa precisa ser restaurada. Em casos iniciais, o controle da causa e o acompanhamento podem ser suficientes.
A restauração com resina composta passa a ser indicada quando há:
- Perda estrutural significativa
- Comprometimento estético
- Sensibilidade persistente
- Risco de fratura
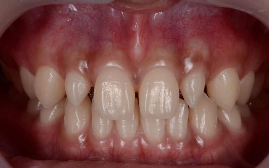
A técnica é minimamente invasiva e preserva ao máximo a estrutura saudável do dente. Com sistemas adesivos modernos e um protocolo cuidadoso de acabamento e polimento, os resultados são altamente estéticos e funcionais.
Casos mais extensos: quando o desgaste é generalizado
Em situações de desgaste severo — como em pacientes com bruxismo intenso ou erosão crônica — pode ser necessário um planejamento reabilitador mais amplo. Isso pode envolver:
- Facetas
- Onlays ou overlays em cerâmica
- Reabilitação oclusal completa
Nesses casos, o objetivo não é apenas restaurar dentes isolados, mas reorganizar função, estética e equilíbrio oclusal.
O tratamento dói?
Essa é uma dúvida muito comum. Com as técnicas atuais, anestesia quando indicada e recursos como o laser terapêutico, o tratamento costuma ser confortável. Além disso, um atendimento acolhedor e individualizado contribui para uma experiência muito mais tranquila.
É possível evitar que a lesão volte?
Sim, desde que a causa esteja sob controle.
A manutenção periódica permite monitorar desgastes, ajustar hábitos e intervir precocemente, caso necessário. Pequenas mudanças na escovação, na alimentação ou na proteção contra o bruxismo fazem grande diferença a longo prazo.
Conclusão
Os tratamentos de lesões não cariosas vão muito além de restaurar dentes desgastados. Eles envolvem diagnóstico preciso, controle da causa, abordagem preventiva e, quando necessário, restauração estética e funcional.
Cada caso é único. Quanto mais precoce for o diagnóstico, mais conservador e simples tende a ser o tratamento. Se você percebe sensibilidade ou desgaste nos dentes, uma avaliação individualizada é o melhor caminho para preservar sua saúde bucal com segurança e previsibilidade.

Localizada em Cerqueira César – São Paulo, entre a Av. Paulista e a Consolação, clique aqui para ver a localização.
Nosso foco é oferecer tratamentos odontológicos personalizados, com tecnologia, conforto e excelência.
Posts Recentes
Avaliações de Pacientes

Dra. Kátia Rie – CROSP 41476
Ortodontista em São Paulo – entre a Paulista e Consolação (Cerqueira César)
Trabalho com aparelhos ortodônticos e Invisalign, realizo clareamento dental e limpeza com AirFlow, dentre outros tratamentos — sempre com foco na estética, saúde bucal e bem-estar dos meus pacientes.
Atendo na minha clínica, localizada em Cerqueira César – São Paulo, entre a Av. Paulista e a Consolação, clique aqui para ver a localização.
Clique aqui e agende sua avaliação.
Me siga no instagram: @drakatiarie.orto
















