Aparelhos Ortodônticos

Tipos de Aparelhos

Os aparelhos são as ferramentas do ortodontista para pôr em prática o que foi planejado para o tratamento ortodôntico, proporcionando ao seu final, dentes alinhados e um sorriso perfeito.

Um aparelho ortodôntico não é somente utilizado por motivos estéticos, para harmonizar a face e alinhar ou corrigir a posição dos dentes, mas também para melhoria da saúde bucal, contribuindo para que que as funções de mastigação, fala e respiração sejam normalizadas e evitando problemas futuros na articulação da face, doenças gengivais ou perda precoce dos dentes.

Existem diversos tipos de aparelhos ortodônticos, adequados para cada finalidade, perfil, idade e expectativa de cada paciente.

Vários problemas podem ser prevenidos se a intervenção já ocorrer na infância, sendo importante já consultar um ortodontista a partir dos seis anos.

Embora os aparelhos tradicionais sejam conhecidos pela sua efetividade, a evolução ocorrida nos últimos anos disponibilizou alternativas mais estéticas e confortáveis.

Caberá ao ortodontista avaliar as necessidades e expectativas do paciente e propor os aparelhos mais adequados ao tratamento.

Apresentaremos a seguir os tipos de aparelhos ortodônticos mais utilizados e suas principais características:

Aparelhos Fixos

O aparelho fixo basicamente é constituído por um conjunto de bráquetes, que possuem uma canaleta por onde passa um fio (arco) que produz a força para movimentar os dentes.

A evolução dos materiais utilizados na fabricação dos bráquetes permitiu o desenvolvimento de soluções mais estéticas em relação aparelho fixo metálico tradicional.

As principais peças do aparelho fixo são:

 

A seguir faremos uma breve descrição dos principais tipos de aparelhos fixos:

Aparelho Fixo Metálico Convencional

É o tipo de aparelho fixo mais comum atualmente, sendo conhecido pela utilização de bráquetes, fios e bandas metálicas.

O fio ortodôntico é mantido preso a cada um dos bráquetes por meio de borrachinhas (ligaduras) ou por finos fios de metal (amarrilhos).

Vantagens

  • Efetivo, indicado para quase todos os tipos de tratamentos;
  • Custo mais baixo.

Desvantagens

  • Muito visível e menos confortável;
  • Requer higienização bucal cuidadosa.

Aparelho Fixo Autoligado

Utiliza bráquetes, mas não precisa das borrachinhas. O fio ortodôntico é mantido preso por uma aleta no próprio bráquete.
Existem ainda versões mais estéticas em porcelana ou safira.

Vantagens

  • Menos atrito entre o bráquete e o fio metálico, permitindo movimentar os dentes com menos força e causando menos dor e sensibilidade;
  • Tende a ser mais efetivo que o aparelho fixo metálico tradicional;
  • Acumula menos resíduos alimentares em relação ao aparelho fixo metálico com borrachinhas;
  • É um pouco mais discreto por não precisar das borrachinhas e os bráquetes serem menores.

Desvantagens

  • Ainda muito visível e menos confortável;
  • Custo mais alto em relação ao metálico tradicional;
  • Requer higienização bucal cuidadosa.

Aparelho Fixo Estético

Utilizam bráquetes de cerâmica ou safira, sendo mais escolhidos por adultos, devido ao apelo estético. Este aparelho tem as mesmas funções do aparelho fixo metálico, não havendo diferenciação de tratamento entre os aparelhos metálicos e os estéticos.

Vantagens

  • Mais estético que os metálicos;
  • Existem versões de bráquetes autoligados em porcelana ou safira.

Desvantagens

  • Menos confortável e ainda visível, se comparado aos alinhadores estéticos;
  • Custo mais alto em relação aos aparelhos metálicos ou autoligados;
  • Mais frágeis quando comparados aos metálicos;
  • Requer higienização bucal cuidadosa.

Alinhadores Invisalign

 

O tratamento com Invisalign utiliza uma série de alinhadores transparentes sequenciais, concebidos por meio da mais alta tecnologia computadorizada em 3D.

É uma alternativa mais moderna, confortável e discreta aos tratamentos ortodônticos tradicionais com bráquetes e fios metálicos, podendo ser utilizado em crianças, adolescentes e adultos. Os alinhadores são indicados para quase todos os tipos de tratamentos ortodônticos.

Ao contrário dos aparelhos fixos, confeccionados com materiais metálicos ou cerâmicos, que ficam colados nos dentes, os alinhadores Invisalign são praticamente invisíveis.

São feitos sob medida para cada paciente e garantem muito mais conforto e discrição, podendo ser facilmente removidos para consumir seus alimentos favoritos, escovar os dentes e passar o fio dental.

O tratamento utiliza uma sequência de alinhadores que devem ser utilizados na periodicidade estabelecida pelo seu ortodontista. Cada alinhador é confeccionado com um material denominado SmartTrack que permite a aplicação de uma força suave e constante nos dentes, melhorando o controle da sua movimentação gradual até a posição do próximo alinhador da sequência.

Uma nova movimentação dentária é estimulada, sempre que o alinhador é substituído, até atingir o resultado desejado.

Casos muito complexos, com dentes muito tortos ou com grande má oclusão podem demandar a utilização de aparelhos fixos e até cirurgia.

Alinhadores Estéticos Invisalign

 

 

  • Transparência e discrição: quase imperceptíveis, preservam a estética durante o tratamento.
  • Removíveis: podem ser retirados para refeições e higienização bucal.
  • Sem restrições alimentares: permitem o consumo de qualquer tipo de alimento sem risco de danos ao aparelho.
  • Confortáveis: confeccionados em material liso, evitam cortes, irritações e aftas.
  • Higiene facilitada: possibilitam a escovação e o uso do fio dental como de costume.
  • Menos visitas ao dentista: as consultas são mais espaçadas, trazendo praticidade ao paciente.

Aparelhos Fixos Convencionais

 

  • Visibilidade: utilizam bráquetes e fios metálicos, sendo mais aparentes; opções discretas (cerâmica ou safira) ainda apresentam limitações.
  • Não removíveis: permanecem fixados aos dentes durante todo o tratamento.
  • Restrições alimentares: alimentos duros ou pegajosos podem causar danos ao aparelho, atrasando o progresso do tratamento.
  • Menos confortáveis: podem causar cortes, irritações ou aftas nos tecidos bucais.
  • Higiene desafiadora: exigem cuidados extras para evitar acúmulo de alimentos e placa bacteriana.
  • Consultas frequentes: requerem visitas regulares para ajustes e, muitas vezes, atendimentos de emergência devido à quebra de peças.

Tratamento para crianças.
Invisalign First

O Invisalign First é um alinhador desenvolvido especificamente para crianças na fase de dentição mista, com a presença de dentes de leite e permanentes.

É indicado para crianças a partir dos seis anos de idade, fase em que essa troca dentária normalmente ocorre. É a fase ideal para procurar um dentista, que pode iniciar um tratamento para corrigir diversos problemas sem prejudicar o desenvolvimento da arcada dentária da criança.

O tratamento nesta fase pode:

  • Abrir espaço para o desenvolvimento dos dentes permanentes;
  • Corrigir o alinhamento dos dentes que já existem;
  • Evitar eventual tratamento ortodôntico na fase adolescente ou adulta ou sendo necessário, reduzir sua complexidade ou prazo de duração;
  • Auxiliar a inibir hábitos como o de chupar o polegar e empurrar os dentes com a língua;
  • Prevenir problemas de mordida pré-existentes de ficarem piores.

Aparelhos Móveis Funcionais

 

Pode atuar com finalidade ortodôntica, promovendo pequenas movimentações nos dentes ou com finalidade ortopédica, sendo neste caso utilizado para estimular, inibir ou direcionar o crescimento ou posicionamento da mandíbula ou da maxila.

São direcionados a crianças e adolescentes, que, por estarem ainda em fase de crescimento, respondem melhor ao tratamento.

O tratamento é indicado para ser iniciado ainda na fase infantil, a partir dos seis anos. A atuação preventiva e corretiva nesta fase poderá evitar a necessidade de tratamento ortodôntico corretivo no futuro ou torná-lo mais simples e rápido.

 

Existem vários aparelhos móveis, cada um destinado a um tratamento específico. Um exemplo de aparelho ortopédico removível é o Bionator de Balters. É muito utilizado em tratamentos de paciente com má oclusão de Classe II que estão em fase de crescimento.

A classe II é aquela onde os dentes inferiores estão mais atrás dos superiores que o normal e geralmente, o queixo está posicionado mais para trás em relação ao restante da face.


Exemplo de caso Classe II passível de tratamento com o Bionator de Balters

Quando colocado na boca do paciente, o aparelho posiciona a mandíbula para frente, produzindo um efeito restritivo sobre a maxila e ao mesmo tempo estimulando o crescimento da mandíbula.

Dessa forma ocorrerá a correção da mordida e a harmonização facial.

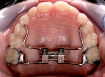
Aparelho Ortopédico Disjuntor

Os aparelhos ortopédicos disjuntores são recomendados quando há mordida cruzada, falta de espaço para o crescimento correto dos dentes ou maxila muito fechada (atrésica). O dispositivo é fixado no céu da boca e possui um expansor localizado em seu centro, sendo ativado de forma gradual.

Funciona melhor em crianças e pré-adolescentes pois as suturas ósseas ainda não estão totalmente fundidas e é mais fácil disjuntar a arcada.

O aparelho disjuntor pode ser o primeiro tratamento antes de iniciar a utilização de outro aparelho ortodôntico, da mesma forma que os aparelhos móveis funcionais. O tratamento na época correta poderá evitar ou simplificar tratamentos ortodônticos corretivos no futuro.

Aparelho Ortopédico Disjuntor

Aparelhos de Contenção

Finalizado o tratamento, os dentes ainda estão em uma posição instável e para manter a estabilidade dos resultados obtidos é necessária a instalação de uma contenção ortodôntica, que pode ser fixa ou removível.

A contenção é necessária em todos os tratamentos ortodônticos. Existem vários tipos de contenção, sendo que o ortodontista recomendará o tipo adequado a ser utilizado.

Contenção Vivera

Contenção Fixa (inferior)

Placa de Hawley (superior)