Blog
Fonoaudiologia e Ortodontia: por que caminham juntas?
Fonoaudiologia e Ortodontia: por que caminham juntas? Quando pensamos em tratamento ortodôntico, é comum imaginarmos apenas o uso de aparelhos para corrigir o posicionamento dos dentes. Mas o que muitos pacientes não sabem é que a posição dos dentes, em diversas...
Desgastes interproximais no tratamento com Invisalign
Desgastes interproximais no tratamento com InvisalignSeu ortodontista mencionou a necessidade de fazer desgastes interproximais durante o tratamento com alinhadores Invisalign? Saiba que essa é uma técnica bastante comum e segura, amplamente utilizada tanto em...
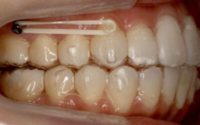
Mini-implantes no tratamento com Invisalign: o que são e por que são utilizados?
Mini-implantes no tratamento com Invisalign: o que são e por que são utilizados?O tratamento com Invisalign é uma alternativa moderna, discreta e confortável para alinhar os dentes, oferecendo um plano altamente personalizado para cada paciente. No entanto,...
Por que a limpeza dental com AirFlow é importante para quem tem implante?
Por que a limpeza dental com AirFlow é importante para quem tem implante? O implante dentário é uma das soluções mais eficazes e seguras para substituir dentes perdidos. O procedimento consiste na colocação cirúrgica de um pequeno parafuso de titânio no osso da maxila...
Limpeza Dental: Como Funciona? Quando é Recomendada?
Limpeza Dental: como funciona? Quando é recomendada?Manter um sorriso bonito e uma boa saúde bucal vai além de uma higiene cuidadosa. Visitas regulares ao dentista são fundamentais para a prevenção e o tratamento de doenças bucais. Nesse contexto, a limpeza dental,...
Quais as diferenças entre as facetas de porcelana e resina?
Quais as diferenças entre as facetas de porcelana e resina? As facetas de porcelana e as facetas de resina são tratamentos estéticos dentários populares que têm o poder de transformar o sorriso. Elas são capazes de corrigir uma série de imperfeições, como alterações...






