Blog
Mantenedores de espaço: o que são, quando são indicados e por que são tão importantes na infância
Mantenedores de espaço: o que são, quando são indicados e por que são tão importantes na infânciaVocê sabe o que é um aparelho mantenedor de espaço? Sabemos que é natural que os dentes de leite caiam para dar lugar aos permanentes durante a infância. Mas em alguns...
O que é tártaro, como se forma e como cuidar?
O que é tártaro, como se forma e como cuidar?Você já percebeu uma camada dura, amarelada ou escura perto da gengiva ou entre os dentes? Isso pode ser tártaro, um dos problemas bucais mais comuns, mas também um dos mais fáceis de evitar com cuidado e orientação...
Placa bacteriana: o que é, por que aparece e como cuidar da sua saúde bucal com carinho
A saúde bucal vai muito além de um sorriso bonito, sendo diretamente ligada ao bem-estar de todo o corpo. E quando falamos de cuidados com a boca, um dos principais vilões silenciosos é a placa bacteriana. Mas não se preocupe: entender o que ela é, por que surge e...
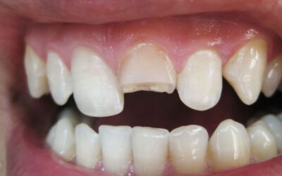
Meu dente quebrou… e agora, o que fazer?
Meu dente quebrou... e agora, o que fazer? Quebrar um dente pode ser uma experiência assustadora, mas é mais comum do que se imagina. Pode acontecer ao morder um alimento mais duro, ao bater o dente acidentalmente em um objeto ou mesmo após uma queda. Nessas...
Clareamento dental: entenda os tipos, como funcionam e qual é o ideal para você?
Ter dentes mais claros e um sorriso mais iluminado é o desejo de muita gente, sendo que o clareamento dental é um dos procedimentos estéticos mais procurados nos consultórios odontológicos. Mas, com tantas opções disponíveis, é comum surgirem dúvidas: Qual tipo de...
Dentes amarelados: por que isso acontece e o que pode ser feito?
Você já se olhou no espelho e teve a sensação de que seus dentes estão mais amarelados do que gostaria? Saiba que isso é muito comum e, felizmente, tem solução. O amarelamento dos dentes pode ocorrer por diversos motivos e entender as causas é o primeiro passo para...






