Invisalign: quanto tempo leva para ver os primeiros resultados?
Invisalign: quanto tempo leva para ver os primeiros resultados?
Se você começou seu tratamento com Invisalign, ou está pensando em iniciar, uma das dúvidas mais comuns é:
“Em quanto tempo começo a ver os primeiros resultados com o Invisalign?”
Essa é uma pergunta absolutamente compreensível. Afinal, além da expectativa de conquistar um sorriso mais alinhado, o Invisalign é conhecido por oferecer uma abordagem ortodôntica mais rápida, discreta e confortável quando comparado aos aparelhos tradicionais com bráquetes e fios metálicos.
A resposta, no entanto, varia de pessoa para pessoa e depende de uma combinação de fatores como:
- A complexidade do seu caso ortodôntico;
- O nível de comprometimento com o uso diário dos alinhadores;
- E o plano de tratamento personalizado desenvolvido pelo seu ortodontista.
Neste artigo, vamos explicar quanto tempo leva, em média, para começar a notar mudanças com o Invisalign, quais sinais indicam progresso e como você pode colaborar para alcançar o melhor resultado no menor tempo possível.
Em quanto tempo dá para ver resultados com Invisalign?
Na maioria dos casos, os primeiros resultados visíveis surgem entre 4 e 8 semanas após o início do tratamento.
Em situações mais simples, tais como pequenos desalinhamentos ou fechamento de espaços entre os dentes (diastemas), as mudanças podem ser percebidas ainda mais cedo, por volta da segunda ou terceira semana.
Isso acontece porque os alinhadores iniciais geralmente atuam sobre os dentes anteriores (da frente) — que são também os mais visíveis ao sorrir. Essa movimentação precoce tende a ser bastante motivadora para o paciente, pois os avanços são perceptíveis já nos primeiros estágios do tratamento.
O que influencia o tempo de resposta ao Invisalign?
O Invisalign atua por meio de forças leves e controladas. A velocidade dos resultados depende de fatores biológicos e comportamentais.
Entenda os principais:
1. Complexidade do Caso Ortodôntico
Casos mais simples, como leve apinhamento ou diastemas, tendem a apresentar resultados mais rápidos. Já casos mais complexos — como mordida cruzada, mordida aberta, apinhamento severo ou necessidade de extrações — podem demandar mais tempo para que as mudanças se tornem visíveis, pois a movimentação dentária é mais sutil e gradual.
2. Tempo de uso diário dos alinhadores
O Invisalign deve ser usado por 22 horas por dia, no mínimo. Quanto mais próximo desse tempo você conseguir manter, mais eficiente será a movimentação dos dentes.
Remover os alinhadores com frequência ou esquecê-los fora da boca compromete o progresso e pode atrasar o tratamento.
3. Disciplina nas trocas de alinhadores
Em geral, os alinhadores são trocados a cada 7, 10 ou 14 dias, conforme orientação do ortodontista. Trocar antes do tempo ideal ou atrasar a troca pode prejudicar o movimento dentário e comprometer a previsibilidade do tratamento.
4. Resposta biológica individual
Cada pessoa responde de maneira diferente ao movimento dentário. Alguns pacientes apresentam resposta mais rápida, enquanto outros podem ter estruturas mais rígidas, exigindo um tempo maior para que o alinhador produza os efeitos desejados.
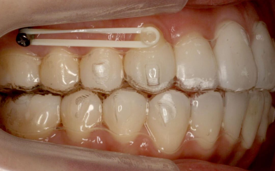
5. Uso de attachments e elásticos Intermaxilares
Recursos adicionais como attachments (pequenos botões de resina) e elásticos intermaxilares são usados para realizar movimentações mais complexas, como rotações ou correções de mordida.
Embora aumentem a previsibilidade clínica, esses acessórios podem prolongar o tempo até que os resultados se tornem visíveis, dependendo do estágio do tratamento.
Uso de recursos auxiliares em casos mais complexos
Nos casos ortodônticos mais desafiadores, o Invisalign pode ser combinado com dispositivos complementares que ampliam sua eficácia biomecânica.
Veja os mais comuns:
- Attachments personalizados: facilitam movimentos como rotação, extrusão e inclinação dentária;
- Elásticos intermaxilares: corrigem relações entre arcadas, como em casos de Classe II e Classe III;
- Desgastes interproximais (IPR): criam espaço entre os dentes para facilitar o alinhamento;
- Mini-implantes ortodônticos: servem como ancoragem estável para movimentações mais complexas;
- Power Arms: dispositivos que ajudam a aplicar a força no ponto ideal do dente;
- Carriere Motion: utilizado para corrigir discrepâncias anteroposteriores em casos de Classe II ou Classe III.
Esses recursos tornam o Invisalign uma ferramenta cada vez mais versátil, inclusive para tratamentos que antes só eram possíveis com aparelhos fixos tradicionais.
Como saber se o tratamento com o Invisalign está funcionando?
Mesmo que os resultados não estejam evidentes no espelho, seu ortodontista está monitorando de perto o progresso clínico.
Durante as consultas de revisão, ele irá avaliar:
- Se os alinhadores estão se adaptando corretamente aos dentes;
- A evolução dos movimentos previstos no ClinCheck (software de planejamento em 3D);
- Os pontos de contato, guias de mordida e ajustes necessários;
- A necessidade de refinamentos ao longo do processo.
Você também pode observar alguns sinais positivos por conta própria. Por exemplo:
- Abertura de pequenos espaços entre os dentes (diastemas transitórios);
- Sensação de pressão leve ao colocar um novo alinhador;
- Alinhadores ficando ligeiramente mais folgados antes da troca (indicando adaptação).
Quando o resultado final com o Invisalign começa a aparecer?
O resultado final, com todos os dentes alinhados, costuma surgir ao longo de 6 a 18 meses, dependendo da complexidade do caso.
Pacientes com necessidades ortodônticas mais leves podem completar o tratamento em poucos meses, enquanto outros podem levar mais tempo, especialmente se forem necessários refinamentos adicionais.
Como acelerar os resultados com Invisalign?
Embora não seja possível “apressar” biologicamente o movimento dentário além do limite saudável, alguns hábitos ajudam a manter o ritmo ideal:
- Usar os alinhadores o máximo possível, sem interrupções desnecessárias;
- Evitar alimentos muito duros ou hábitos como roer unhas (que podem afetar os attachments);
- Realizar a higiene oral corretamente para evitar inflamações gengivais que prejudicam o movimento;
- Seguir à risca o cronograma de trocas e comparecer às consultas de acompanhamento.
Conclusão
O Invisalign é uma tecnologia ortodôntica moderna, confortável e altamente eficiente, sendo que os primeiros resultados costumam surgir entre 4 e 8 semanas, especialmente em casos simples.
Com uso disciplinado e acompanhamento profissional, o tratamento se torna previsível, discreto e cada vez mais acessível, permitindo que o paciente participe ativamente da transformação do seu próprio sorriso.
Se você está começando sua jornada com Invisalign ou deseja alinhar os dentes de forma discreta e eficaz, clique aqui e agende uma avaliação na clínica Kátia Rie Odontologia.
Por meio de um planejamento totalmente digital e personalizado, ajudamos você a conquistar um sorriso mais bonito, funcional e harmonioso, de forma discreta e previsível.

Localizada em Cerqueira César – São Paulo, entre a Av. Paulista e a Consolação, clique aqui para ver a localização.
Nosso foco é oferecer tratamentos odontológicos personalizados, com tecnologia, conforto e excelência.
Posts Recentes
Avaliações de Pacientes

Dra. Kátia Rie – CROSP 41476
Ortodontista em São Paulo – entre a Paulista e Consolação (Cerqueira César)
Trabalho com aparelhos ortodônticos e Invisalign, realizo clareamento dental e limpeza com AirFlow, dentre outros tratamentos — sempre com foco na estética, saúde bucal e bem-estar dos meus pacientes.
Atendo na minha clínica, localizada em Cerqueira César – São Paulo, entre a Av. Paulista e a Consolação, clique aqui para ver a localização.
Clique aqui e agende sua avaliação.
Me siga no instagram: @drakatiarie.orto


















