Blog
A importância do selante dental em crianças: proteção contra cáries
A importância do selante dental em crianças: proteção contra cáriesA infância é uma fase decisiva para o desenvolvimento da saúde bucal. É justamente nesse período que os dentes permanentes começam a nascer — e com eles, surgem também maiores riscos de cárie,...
Carriere Motion: o aparelho discreto que reduz o tempo de tratamento com Invisalign
Carriere Motion: o aparelho discreto que reduz o tempo de tratamento com Invisalign Se você está buscando uma alternativa mais rápida, discreta e moderna para corrigir a mordida antes de iniciar o uso de alinhadores Invisalign, o Carriere Motion pode ser a solução...
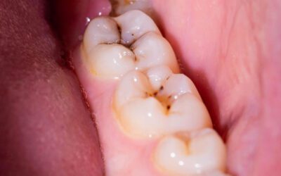
Cárie Dentária: sintomas, tratamentos e como prevenir
Cárie Dentária: sintomas, tratamentos e como prevenirA cárie dentária é uma das doenças mais frequentes em todo o mundo — e, ao mesmo tempo, uma das mais negligenciadas. Mesmo com os avanços da odontologia, ela ainda afeta pessoas de todas as idades, podendo...
Conheça as vantagens do raio-X odontológico digital
Conheça as vantagens do raio-X odontológico digitalA odontologia está em constante evolução, sendo que uma das inovações mais impactantes nas últimas décadas é o raio-x odontológico digital. Essa tecnologia tem transformado a forma como os dentistas diagnosticam e...
Já usei aparelho convencional antes, mas meus dentes entortaram. O que fazer?
"Já usei aparelho convencional antes, mas meus dentes entortaram. O que fazer?" Se você já usou aparelho ortodôntico por meses, ou até anos, e, com o tempo, notou que seus dentes voltaram a entortar, saiba que isso é mais comum do que parece. Esse fenômeno, conhecido...
Chupeta e dedo na boca: qual o impacto nos dentes e como intervir?
Chupeta e dedo na boca: qual o impacto nos dentes e como intervir? É comum que bebês e crianças pequenas busquem conforto por meio do uso da chupeta ou do hábito de chupar o dedo. Em muitos casos, esses comportamentos são encarados com naturalidade pelos pais, e de...






