Cárie Dentária: sintomas, tratamentos e como prevenir
Aqui você vai encontrar:
- 1 Cárie Dentária: sintomas, tratamentos e como prevenir
- 2 O que é a cárie dentária?
- 3 Como a cárie se forma? Etapa por etapa
- 4 1. Desmineralização inicial: o primeiro sinal invisível
- 5 2. Formação da lesão cariosa: o surgimento da cavidade
- 6 3. Progressão para a dentina: a cárie acelera e causa dor
- 7 4. Invasão da polpa dentária: infecção e dor intensa
- 8 5. Complicações avançadas: risco à saúde geral
- 9 Sintomas da Cárie: Saiba reconhecer os sinais antes que seja tarde
- 10
- 11 Tratamentos para Cárie
- 12 O que o dentista pode fazer?
- 13 1. Fluorterapia – Reversão da Cárie Inicial
- 14 2. Restauração com Resina Composta – Tratamento Conservador e Estético
- 15 3. Tratamento Endodôntico (Canal) – Quando a Cárie Chega à Polpa
- 16 4. Coroas e Onlays – Proteção para Dentes Muito Danificados
- 17 5. Extração Dentária – Quando o Dente Está Irrecuperável
- 18 Como prevenir a cárie dentária?
- 19 1. Higiene bucal de qualidade
- 20 2. Alimentação equilibrada
- 21 3. Acompanhamento odontológico
- 22 4. Fluorterapia e selantes
- 23 E quanto às crianças? A cárie infantil é perigosa?
- 24 Cárie e saúde geral: há relação?
- 25 Conclusão: Cárie tem prevenção, diagnóstico e tratamento
A cárie dentária é uma das doenças mais frequentes em todo o mundo — e, ao mesmo tempo, uma das mais negligenciadas.
Mesmo com os avanços da odontologia, ela ainda afeta pessoas de todas as idades, podendo comprometer não apenas a estética do sorriso, mas também a mastigação, a fala e até a saúde geral.
Neste artigo, você vai entender de forma clara e aprofundada o que é a cárie, como ela se desenvolve, quais são os sintomas em cada fase, quais tratamentos são indicados e, principalmente, como preveni-la de forma eficaz e duradoura.
O que é a cárie dentária?
A cárie é uma doença biofilme-dependente, crônica e multifatorial, causada principalmente pela ação de bactérias presentes na microbiota bucal. Ela ocorre quando essas bactérias metabolizam açúcares e produzem ácidos que desmineralizam progressivamente os tecidos duros do dente — começando pelo esmalte e podendo atingir a dentina e a polpa.
A bactéria Streptococcus mutans é a principal vilã nesse processo, mas outros microrganismos também contribuem para o avanço da doença.
A progressão da cárie depende de quatro fatores principais:
- Presença de placa bacteriana (biofilme);
- Exposição frequente ao açúcar;
- Tempo de exposição sem remoção do biofilme;
- Susceptibilidade do hospedeiro, como a qualidade do esmalte e a quantidade de saliva (saliva espessa ou em pouca quantidade pode favorecer a doença).
Como a cárie se forma? Etapa por etapa
A formação da cárie dentária é um processo dinâmico e multifatorial, que pode evoluir lentamente ao longo do tempo — ou de forma mais acelerada, dependendo de fatores como alimentação, higiene bucal, fluxo salivar e predisposição individual. Entender as etapas desse processo é fundamental para a prevenção e o diagnóstico precoce.
1. Desmineralização inicial: o primeiro sinal invisível
Nesta fase, ainda não há cavidade aparente. O que ocorre é uma perda progressiva de minerais (como cálcio e fosfato) da estrutura do esmalte dentário, causada pela ação de ácidos produzidos pelas bactérias do biofilme após o consumo de açúcares fermentáveis.
Visualmente, pode surgir uma mancha branca opaca, sinal de que o esmalte está mais poroso. A boa notícia é que essa lesão é reversível, com uso de flúor e melhoria dos hábitos de higiene.
Nesta etapa, o paciente geralmente não sente dor, o que reforça a importância das consultas regulares para detecção precoce.
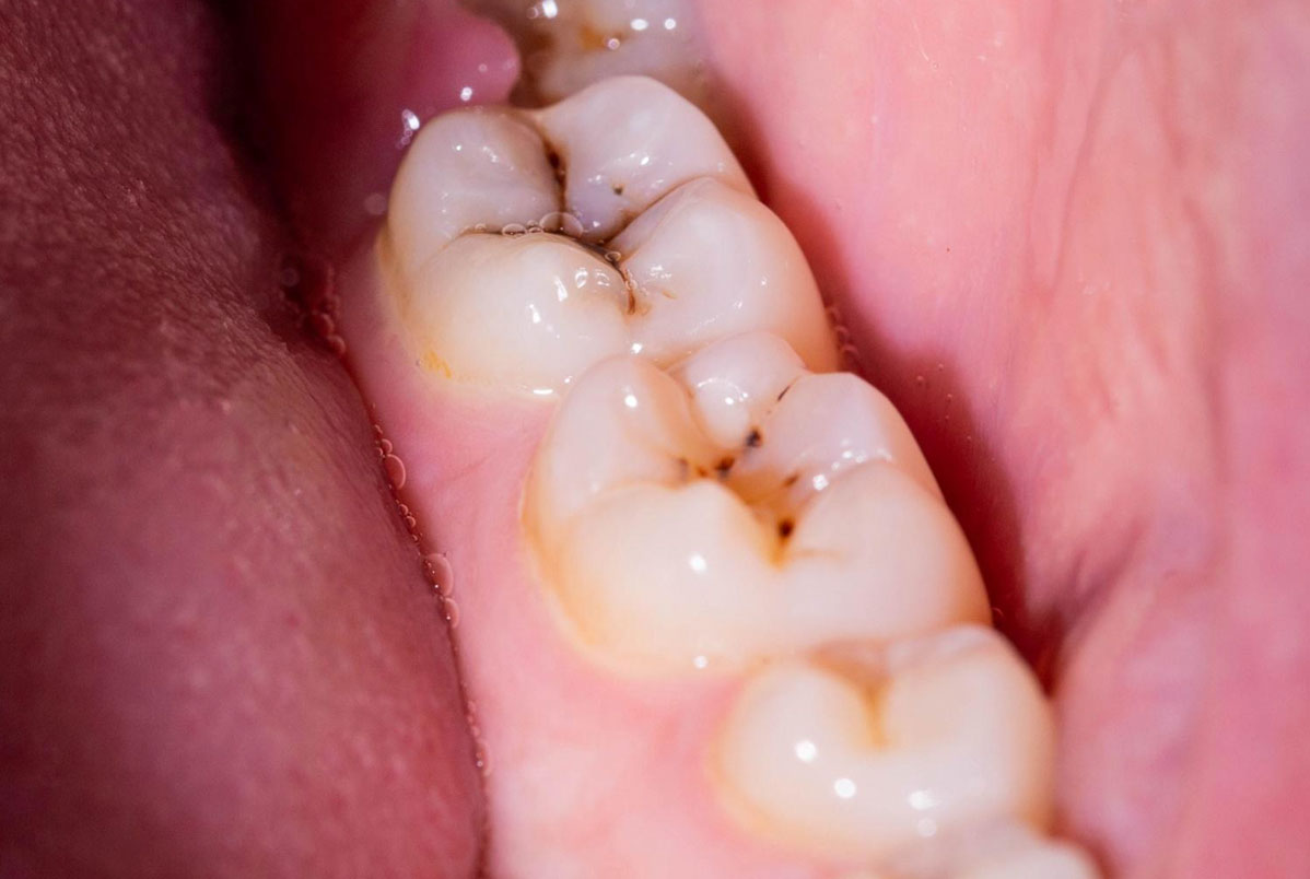
2. Formação da lesão cariosa: o surgimento da cavidade
Se a desmineralização não for interrompida, o processo avança e ocorre uma perda real de estrutura, formando uma cavidade no esmalte. A cárie deixa de ser apenas química e passa a ter também um componente mecânico (destrutivo).
Nesta fase, o dente pode apresentar:
- Sensibilidade leve a alimentos doces ou frios;
- Pequenas cavidades visíveis ou ao toque com fio dental.
- A remoção do tecido cariado e a restauração com resina composta costumam ser suficientes para tratar a lesão.
3. Progressão para a dentina: a cárie acelera e causa dor
Ao ultrapassar o esmalte e atingir a dentina — tecido mais poroso e menos mineralizado —, a cárie tende a avançar mais rapidamente. Isso acontece porque a dentina permite maior difusão dos ácidos e contém terminações nervosas que aumentam a sensibilidade.
O paciente pode sentir:
- Dor ao mastigar ou ao consumir alimentos frios, quentes ou doces;
- Incômodo persistente, mesmo sem estímulo externo;
- Aumento do tamanho da cavidade.
Nessa fase, o tratamento envolve a remoção profunda do tecido cariado e uma reconstrução cuidadosa, para preservar a vitalidade pulpar.
4. Invasão da polpa dentária: infecção e dor intensa
Se não tratada a tempo, a cárie alcança a polpa dentária, que é a parte mais interna do dente, rica em nervos e vasos sanguíneos. Esse processo pode causar:
- Dor intensa, pulsátil e constante;
Sensação de “dente latejando”; - Inchaço ao redor do dente;
- Possível necrose pulpar (morte do tecido nervoso).
Nesta fase, é indicado o tratamento endodôntico (canal), que consiste na remoção da polpa infectada, descontaminação dos canais e selamento interno do dente.
5. Complicações avançadas: risco à saúde geral
A cárie que não recebe tratamento adequado pode evoluir para complicações mais graves, como:
- Abscesso dentário: acúmulo de pus na raiz do dente, causando inchaço, dor e febre;
- Fístula gengival: formação de um canal que drena o pus para a cavidade bucal;
- Infecção disseminada: em casos extremos, a infecção pode atingir tecidos profundos do rosto, pescoço ou mesmo órgãos vitais, caracterizando um risco à saúde sistêmica;
- Perda do dente: quando a estrutura está muito destruída, não há como salvar o dente, sendo necessária a extração e, posteriormente, a reabilitação com implante ou prótese.
Sintomas da Cárie: Saiba reconhecer os sinais antes que seja tarde
A cárie dentária pode evoluir de maneira silenciosa, especialmente em suas fases iniciais.
Por isso, muitas vezes o problema só é percebido quando já causou danos significativos à estrutura do dente.
Reconhecer os sinais precoces da cárie é fundamental para evitar tratamentos mais invasivos — e preservar seu sorriso com saúde e tranquilidade.
É importante lembrar: a ausência de dor não significa ausência de doença.
Visitas regulares ao dentista permitem identificar a cárie ainda em estágios iniciais, quando o tratamento é mais simples, rápido e menos custoso.
A seguir, conheça os principais sintomas da cárie de acordo com o estágio de evolução da lesão:
| Estágio da Cárie | Sinais e Sintomas |
|---|---|
| Cárie incipiente (lesão inicial) | Surgimento de manchas brancas opacas (indicam perda mineral no esmalte); normalmente assintomática. Pode ser revertida com flúor e mudança de hábitos. |
| Cárie superficial | Leve sensibilidade ao frio, doce ou ácido; cavidade ainda pequena, pouco visível. A dor pode surgir apenas ao estímulo. |
| Cárie moderada | Cavidade mais perceptível, com dor ao mastigar, sensibilidade persistente e buracos visíveis. |
| Cárie profunda | Dor intensa e espontânea, principalmente à noite; inflamação e desconforto ao toque. |
| Cárie avançada com complicações | Infecção com abscesso, dor que irradia, inchaço, febre e possível necessidade de extração. |
Tratamentos para Cárie
O que o dentista pode fazer?
O tratamento da cárie dentária depende diretamente do estágio em que a lesão se encontra.
Quanto mais cedo o problema é identificado, mais simples e conservador tende a ser o procedimento.
O objetivo é sempre preservar ao máximo a estrutura natural do dente e garantir a saúde bucal do paciente.
A seguir, conheça os principais tipos de tratamentos indicados para diferentes níveis de comprometimento dentário:
1. Fluorterapia – Reversão da Cárie Inicial
Quando a lesão ainda está restrita ao esmalte e não há cavidade visível, a cárie pode ser revertida. Nesta fase, os danos são apenas de desmineralização, e ainda não houve perda estrutural significativa.
O tratamento é feito com:
- Géis, vernizes ou espumas fluoretadas, aplicados diretamente sobre os dentes;
- Suplementação com creme dental com alta concentração de flúor;
- Reforço na higiene bucal e controle alimentar (especialmente redução de açúcares).
A fluorterapia é indolor, segura e muito eficaz, especialmente em crianças e adolescentes ou pacientes com risco elevado de cárie.
2. Restauração com Resina Composta – Tratamento Conservador e Estético
Quando a cárie atinge o esmalte e avança para a dentina, formando uma cavidade, é necessário remover o tecido cariado e restaurar a forma e função do dente.
O material mais utilizado é a resina composta, que tem excelente estética e adesão ao dente. A restauração é feita em consultório, geralmente em uma única sessão, e permite:
- Reconstruir a anatomia dentária;
- Eliminar a sensibilidade e a dor;
- Restaurar a capacidade mastigatória;
- Evitar a progressão da lesão.
A escolha da cor da resina é feita de forma personalizada, garantindo um resultado natural e harmonioso.
3. Tratamento Endodôntico (Canal) – Quando a Cárie Chega à Polpa
Se a cárie não for tratada a tempo, ela pode atingir a polpa dentária — o “coração” do dente, onde ficam os vasos sanguíneos e terminações nervosas.
Nessa fase, o paciente costuma relatar dor intensa, contínua e espontânea, além de possível inchaço na gengiva.
O tratamento de canal consiste em:
- Remover a polpa infectada;
Limpar, desinfetar e moldar os canais radiculares; - Preencher os canais com material obturador (como a guta-percha);
- Reconstruir o dente com resina, pino ou coroa protética, dependendo do comprometimento da estrutura.
Esse procedimento é essencial para eliminar a infecção e salvar o dente, evitando sua extração.
4. Coroas e Onlays – Proteção para Dentes Muito Danificados
Quando a cárie destruiu uma parte significativa do dente, a simples restauração pode não ser suficiente.
Nesses casos, o dentista pode optar por restaurações indiretas, como:
Onlays ou inlays: peças feitas em laboratório que substituem parte da coroa do dente. São coladas de forma precisa e conservadora.
Coroas protéticas: recobrem todo o dente, devolvendo forma, função e resistência.
Esses tratamentos são indicados quando:
- A cárie comprometeu cúspides ou a maior parte da superfície dentária;
- O dente foi tratado endodonticamente e perdeu muita estrutura;
- Há necessidade de reforçar o dente para suportar a mastigação.
As coroas podem ser feitas de cerâmica, zircônia, metalocerâmica ou outros materiais modernos, com excelente resultado estético e funcional.
5. Extração Dentária – Quando o Dente Está Irrecuperável
Em casos extremos, quando a cárie destruiu completamente o dente ou há risco à saúde do paciente, a extração pode ser a única opção viável.
Sinais de que a extração pode ser necessária:
- Fratura extensa da raiz;
- Infecção crônica não tratável com canal;
- Comprometimento ósseo severo ao redor do dente.
- Após a extração, é essencial pensar na reabilitação da função mastigatória e estética, com alternativas como:
- Implantes dentários;
- Próteses fixas ou removíveis;
Pônticos provisórios, no caso de pacientes em tratamento ortodôntico.
A ausência de dentes pode causar perda óssea, desalinhamento dos dentes vizinhos e sobrecarga na mastigação — por isso, a reposição deve ser planejada com cuidado.
Como prevenir a cárie dentária?
A prevenção é simples, mas exige constância. Veja os principais pilares:
1. Higiene bucal de qualidade
- Escove os dentes ao acordar, antes de dormir e após refeições principais;
- Use creme dental com flúor (mínimo 1.000 ppm);
- Passe fio dental diariamente, especialmente à noite;
- Escove também a língua, que abriga milhões de bactérias.
2. Alimentação equilibrada
- Evite alimentos ricos em açúcar, especialmente os pegajosos (como balas e bolachas recheadas);
- Prefira alimentos que estimulam a salivação, como maçã, cenoura e castanhas;
- Beba bastante água para manter a boca hidratada e auxiliar na limpeza natural dos dentes.
3. Acompanhamento odontológico
- Vá ao dentista a cada 6 meses (ou conforme necessidade individual);
- Realize profilaxias profissionais para remoção de tártaro e biofilme;
- Avalie o uso de selantes dentários, especialmente em crianças com sulcos profundos.
4. Fluorterapia e selantes
- O flúor é essencial na prevenção e pode ser aplicado em consultório com maior concentração;
- Selantes protegem regiões de difícil acesso e são indicados principalmente para molares permanentes em crianças.
E quanto às crianças? A cárie infantil é perigosa?
Sim. A cárie de mamadeira, por exemplo, pode causar destruição rápida dos dentes de leite. Além do impacto estético e funcional, pode comprometer a dentição permanente. É fundamental:
- Evitar mamadeiras com açúcar;
- Nunca deixar a criança dormir mamando;
- Começar a higiene bucal desde o nascimento, mesmo antes dos primeiros dentes;
- Levar a criança ao dentista a partir dos seis a sete meses.
Cárie e saúde geral: há relação?
Sim. Lesões cariosas extensas e não tratadas podem originar infecções graves que se espalham para outras partes do corpo. Há também correlações entre doenças periodontais (comuns em pacientes com higiene deficiente) e problemas como:
- Doenças cardiovasculares;
- Diabetes mal controlado;
- Partos prematuros.
Ou seja: cuidar dos dentes é cuidar da saúde como um todo.
Conclusão: Cárie tem prevenção, diagnóstico e tratamento
A cárie dentária não precisa ser uma realidade inevitável. Com um pouco de atenção, bons hábitos e acompanhamento profissional, é perfeitamente possível manter os dentes saudáveis por toda a vida.
Sinta-se acolhido em buscar orientação profissional mesmo antes de qualquer sintoma.
Prevenir é sempre o melhor caminho — e seu sorriso merece esse cuidado.

Localizada em Cerqueira César – São Paulo, entre a Av. Paulista e a Consolação, clique aqui para ver a localização.
Nosso foco é oferecer tratamentos odontológicos personalizados, com tecnologia, conforto e excelência.
Posts Recentes
Avaliações de Pacientes

Dr. Sérgio Garcia Ribeiro - CROSP 44954
Cirurgião Dentista em São Paulo – entre a Paulista e Consolação (Cerqueira César)
Priorizo um atendimento humanizado e individualizado, sempre pensando na saúde, na estética e no bem-estar dos meus pacientes.
Atuo nas áreas de Facetas e Lentes de Contato Dental, Clareamento Dental, Limpeza Dental com AirFlow, Restaurações, Próteses, Implantes e Cirurgias Orais Menores, com foco na excelência estética e funcional.
Atendo na Clínica Kátia Rie- Odontologia, localizada em Cerqueira César – São Paulo, entre a Av. Paulista e a Consolação, clique aqui para ver a localização.
Clique aqui e agende sua avaliação.
Me siga no instagram:@dr.sergio.garcia.ribeiro




